Apendicite Aguda

Paciente jovem, com dor na fossa ilíaca direita e defesa à palpação. A tomografia computadorizada mostra bem anteriormente na pelve, quase na região inguinal, tocando o peritônio, uma imagem arredondada, contendo líquido intraluminal, exibindo captação periférica de contraste e apresentando densificação inflamatória do tecido adiposo adjacente. É o apêndice tangenciado perpendicular ao seu eixo nos cortes axiais, aumentado de volume e com sinais de processo inflamatório.

Mais um caso de mais idade (ateromas calcificados ilíacos), com dor no abdome inferior à direita. A tomografia evidencia de uma maneira bem clara o apêndice que aprece alongado neste corte axial, com paredes espessadas e um diâmetro aumentado, com borramento do tecido adiposo local. Percebam que na fossa ilíaca esquerda, a gordura mesenterial tem densidade normal, hipoatenuante.

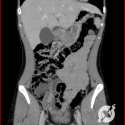
Aqui uma reconstrução coronal de uma tomografia do abdome para investigação de um indivíduo jovem com dor abdominal baixa, mais à ESQUERDA. O diagnóstico clínico era de cólica renoureteral esquerda. Fica bem evidente a imagem do apêndice no seu maior eixo, com paredes espessas e densificação inflamatória adiposa circunjacente. Reparem, no entanto, que a extremidade apendicular está situada à esquerda da linha média, daí o quadro clínico ser deste lado.
