Cirrose Hepática

Aqui um caso de hepatopatia crônica no qual observamos um fígado bastante reduzido de volume, apresentando contornos lobulados e densidade homogênea. Se olharmos o baço, vamos perceber que o seu tamanho está aumentado e existe uma fina lâmina de líquido livre lateralmente. O que é interessante neste caso é perceber que a veia porta (seta) encontra-se trombosada e com calcificações parietais, um achado infrequente em veias, mas que em um regime de hipertensão crônico pode aparecer em estruturas venosas.

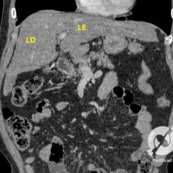
Aqui um paciente com cirrose hepática apresentando um fígado de contornos levemente lobulados, homogêneo e com uma proeminência do lobo caudado (LC). A veia porta está aumentada de calibre, porém pérvia (seta vermelha). O baço está bastante aumentado de volume e existe uma circulação colateral adjacente ao hilo esplênico (setas azuis).

Aqui outro paciente com hepatopatia crônica, que tem um fígado lobulado, com atrofia do lobo direito e uma proeminência do lobo esquerdo. Todo o fígado é heterogêneo, com imagens nodulares difusas de tamanhos variados, que correspondem predominantemente a nódulos de regeneração. Também observamos uma pequena quantidade de líquido livre subfrênico direito envolvendo parcialmente o fígado (círculo). Interessante notar que embora seja mais comum pacientes hepatopatas apresentarem distúrbios de coagulação manifestados por sangramentos, eventualmente o distúrbio de coagulação se manifesta como fenômenos trombóticos e neste caso como um infarto esplênico (seta vermelha).

Aqui vemos um fígado homogêneo, porém de contornos lobulados e com uma proeminência do lobo esquerdo. Notamos também que o ligamento falciforme Área hipoatenuante no lobo esquerdo) está levemente proeminente, em virtude da redução volumétrica do fígado e que na sua topografia é identificada uma estrutura venosa, que se recanaliza em virtude do regime de hipertensão portal que se desenvolveu. O caso em questão é a veia paraumbilical. E sim, existe uma grande ascite associada.

