DPOC

O principal achado em pacientes com enfisema na radiografia de tórax é uma hiperinsuflação pulmonar. Com a destruição do espaço aéreo distal ao bronquíolo terminal, o ar entra no saco alveolar, mas não consegue sair completamente, resultando num aprisionamento aéreo e que determina um aumento de volume pulmonar. Na radiografia, ela vai ser demonstrada por uma retificação dos diafragmas e por um aumento do gás retroesternal, que são melhor demonstrados em perfil.

O principal achado em pacientes com enfisema na radiografia de tórax é uma hiperinsuflação pulmonar. Com a destruição do espaço aéreo distal ao bronquíolo terminal, o ar entra no saco alveolar, mas não consegue sair completamente, resultando num aprisionamento aéreo e que determina um aumento de volume pulmonar. Na radiografia, ela vai ser demonstrada por uma retificação dos diafragmas e por um aumento do gás retroesternal, que são melhor demonstrados em perfil.

Outro paciente com DPOC (enfisema pulmonar) com achados de aumento do gás retroesternal e retificação das cúpulas frênicas. Outro detalhe: na imagem em PA percebam o diafragma com aspecto ondulado, meio que parecendo os degraus de uma escada. É outro aspecto muito comum no enfisema pulmonar.

Outro paciente com DPOC (enfisema pulmonar) com achados de aumento do gás retroesternal e retificação das cúpulas frênicas. Outro detalhe: na imagem em PA percebam o diafragma com aspecto ondulado, meio que parecendo os degraus de uma escada. É outro aspecto muito comum no enfisema pulmonar.

Outro achado no DPOC são as bolhas enfisematosas, em geral nos lobos superiores, que são os locais mais comprometidos. Aqui no ápice direito vemos uma grande bolha com paredes finas relacionada ao enfisema. Tá, mas como vou saber que é uma bolha e não uma cavidade de tuberculose? Ápice é local comum de Tb. Sim, mas primeiro, existem sinais de DPOC aqui: o diafragma está retificado e existe bastante gás retroesternal. Por outro lado, as paredes são muito finas pra considerarmos um processo inflamatório, seja tuberculose, seja abscesso, portanto o diagnóstico é de uma bolha.

Outro achado no DPOC são as bolhas enfisematosas, em geral nos lobos superiores, que são os locais mais comprometidos. Aqui no ápice direito vemos uma grande bolha com paredes finas relacionada ao enfisema. Tá, mas como vou saber que é uma bolha e não uma cavidade de tuberculose? Ápice é local comum de Tb. Sim, mas primeiro, existem sinais de DPOC aqui: o diafragma está retificado e existe bastante gás retroesternal. Por outro lado, as paredes são muito finas pra considerarmos um processo inflamatório, seja tuberculose, seja abscesso, portanto o diagnóstico é de uma bolha.

Aqui uma radiografia em PA mostrando os diafragmas bem retificados, com uma certa lobulação, que é comum aparecer em enfisema pulmonar.

Esta é uma tomografia que mostra o que acontece num enfisema, que é a destruição dos espaços aéreos distais ao bronquíolo terminal. O mais comum é esta destruição ocorrer no centro do lóbulo, o chamado enfisema centrolobular, que na tomografia aparece como estas pequenas imagens hipoatenuantes, sem paredes definids, com distribuição esparsa nos pulmões, parecendo um roído de traça (a). Na periferia, a gente percebe um segundo tipo de enfisema, no qual a destruição do espaço aéreo ocorre mais na periferia do lóbulo, conhecido como enfisema parasseptal, que tem distribuição mais periférica (foto b, no pulmão direito), com aspecto que lembra um cerca de madeira). Eventualmente estas imagens podem confluir e formar lesões maiores, com aspecto de bolhas (b).

Esta é uma tomografia que mostra o que acontece num enfisema, que é a destruição dos espaços aéreos distais ao bronquíolo terminal. O mais comum é esta destruição ocorrer no centro do lóbulo, o chamado enfisema centrolobular, que na tomografia aparece como estas pequenas imagens hipoatenuantes, sem paredes definids, com distribuição esparsa nos pulmões, parecendo um roído de traça (a). Na periferia, a gente percebe um segundo tipo de enfisema, no qual a destruição do espaço aéreo ocorre mais na periferia do lóbulo, conhecido como enfisema parasseptal, que tem distribuição mais periférica (foto b, no pulmão direito), com aspecto que lembra um cerca de madeira). Eventualmente estas imagens podem confluir e formar lesões maiores, com aspecto de bolhas (b).

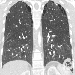
Aqui a gente tem no corte axial enfisemas centrolobular e parasseptal confluentes no ápice. Na reconstrução coronal, fica mais fácil entender o enfisema parasseptal, com aquela distribuição parecida com uma cerca de madeira, apresentando uma distribuição periférica nos lobos superiores.

