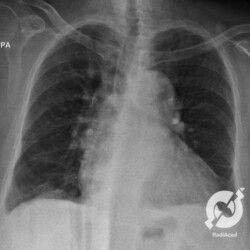
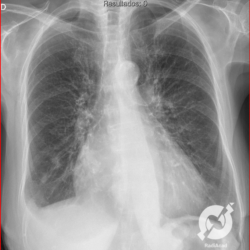
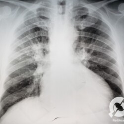
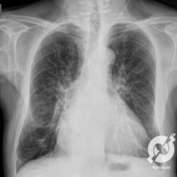
Insuficiência Cardíaca Congestiva (ICC)

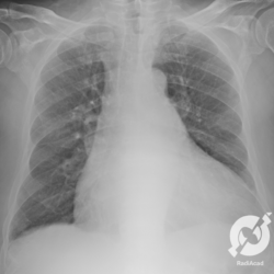
Aumento do volume cardíaco, lesões intersticiais reticulares e obliteração do seio costofrênico direito.

Aumento do volume cardíaco, inversão da circulação pulmonar, lesões intersticiais reticulares e obliteração do seio costofrênico direito.

Aumento do volume cardíaco, inversão da circulação pulmonar, lesões intersticiais reticulares com linhas B de Kerley bilaterais e obliteração do seio costofrênico direito.

Aumento do volume cardíaco, inversão da circulação pulmonar, lesões intersticiais reticulares com linhas A de Kerley à esquerda e B de Kerley bilaterais e obliteração do seio costofrênico direito.

Aumento do volume cardíaco, inversão da circulação pulmonar, lesões intersticiais reticulares com linhas B de Kerley à esquerda e obliteração do seio costofrênico direito.

Aumento do volume cardíaco, inversão da circulação pulmonar, lesões intersticiais reticulares e obliteração dos seios costofrênicos.

Aumento do volume cardíaco, inversão da circulação pulmonar, lesões intersticiais reticulares e obliteração dos seios costofrênicos.

Aumento do volume cardíaco, inversão da circulação pulmonar, lesões intersticiais reticulares com linhas B de Kerley à esquerda e obliteração dos seios costofrênicos.

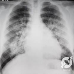
Aumento do volume cardíaco, inversão da circulação pulmonar, consolidações alveolares e lesões intersticiais reticulares nos lobos inferiores.

Aumento do volume cardíaco, inversão da circulação pulmonar, consolidações alveolares e lesões intersticiais reticulares nos lobos inferiores.

Aumento do volume cardíaco, inversão da circulação pulmonar, consolidações alveolares e lesões intersticiais reticulares nos lobos inferiores, predominando à direita e derrame pleural à direita.

Aumento do volume cardíaco, inversão da circulação pulmonar, lesões intersticiais reticulares nos lobos inferiores com linhas B de Kerley à direita, proeminência das artérias pulmonares ( hipertensão arterial pulmonar associada).

Aumento do volume cardíaco, inversão da circulação pulmonar, lesões intersticiais reticulares nos lobos inferiores.

Aumento do volume cardíaco, inversão da circulação pulmonar e lesões intersticiais reticulares nos lobos inferiores.

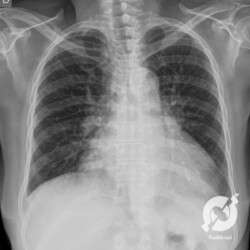
Aumento do volume cardíaco, inversão da circulação pulmonar e obliteração do seio costofrênico direito.

Aumento do volume cardíaco, inversão da circulação pulmonar, lesões intersticiais reticulares nos lobos inferiores e obliteração dos seios costofrênicos.

Aumento do volume cardíaco, lesões intersticiais reticulares e consolidações alveolares nos lobos inferiores, com obliteração do seio costofrênico direito.

Aumento do volume cardíaco, lesões intersticiais reticulares, linhas A de Kerley bilaterais e obliteração dos seios costofrênicos.

Aumento do volume cardíaco, lesões intersticiais reticulares, linhas A de Kerley bilaterais e obliteração dos seios costofrênicos.

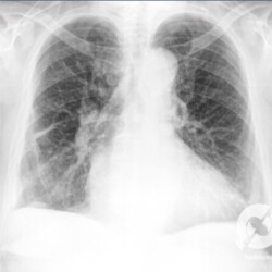
Aumento do volume cardíaco, inversão da circulação pulmonar e lesões intersticiais reticulares difusas.

Aumento do volume cardíaco, inversão da circulação pulmonar e lesões intersticiais reticulares discretas com linhas B de Kerley.

Aumento do volume cardíaco, inversão da circulação pulmonar e lesões intersticiais reticulares com linhas B de Kerley.

Aumento do volume cardíaco, inversão da circulação pulmonar e lesões intersticiais reticulares com linhas A de Kerley à direita e B nos lobos inferiores, com obliteração do seio costofrênico direito.

Aumento do volume cardíaco, inversão da circulação pulmonar e lesões intersticiais reticulares com B de Kerley.

Aumento do volume cardíaco, inversão da circulação pulmonar e lesões intersticiais reticulares com linhas B Kerley bilaterais e obliteração do seio costofrênico direito.

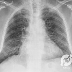
Aumento do volume cardíaco, inversão da circulação pulmonar e lesões intersticiais reticulares, com obliteração dos seios costofrênicos.

Aumento do volume cardíaco, inversão da circulação pulmonar, consolidações alveolares e lesões intersticiais reticulares nos lobos inferiores, com linha A de Kerley à esquerda e obliteração dos seios costofrênicos.

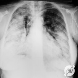
Consolidações alveolares difusas com predomínio peri-hilar, em “asa de borboleta”. Edema agudo de pulmão.

Consolidações alveolares e opacidades em vidro fosco peri-hilares, com espessamento septal e derrame pleural bilateral. Edema agudo de pulmão.

Consolidações alveolares e opacidades em vidro fosco peri-hilares, com espessamento septal e derrame pleural bilateral. Edema agudo de pulmão.

Consolidações alveolares e opacidades em vidro fosco peri-hilares, com derrame pleural bilateral. Edema agudo de pulmão.

Consolidações alveolares e opacidades em vidro fosco peri-hilares, com derrame pleural bilateral. Edema agudo de pulmão.

Consolidações alveolares e opacidades em vidro fosco peri-hilares, com derrame pleural bilateral. Edema agudo de pulmão.

Consolidações alveolares e opacidades em vidro fosco peri-hilares, com derrame pleural à direita. Edema agudo de pulmão.

Consolidações alveolares e opacidades em vidro fosco peri-hilares, com derrame pleural à direita. Edema agudo de pulmão.

Consolidações alveolares e opacidades em vidro fosco peri-hilares, com espessamento septal e derrame pleural bilateral. Edema agudo de pulmão.

Consolidações alveolares e opacidades em vidro fosco peri-hilares, com espessamento septal e derrame pleural bilateral. Edema agudo de pulmão.

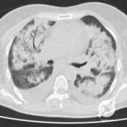
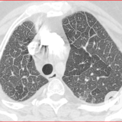
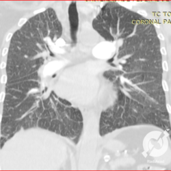
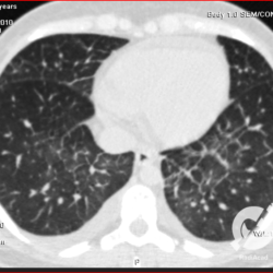
Lesões intersticiais reticulares difusas, aumento do volume cardíaco e inversão da circulação pulmonar (Rx)/ opacidades em vidro fosco e estruturas venosas calibrosas (TC).

Lesões intersticiais reticulares difusas, aumento do volume cardíaco e inversão da circulação pulmonar (Rx)/ opacidades em vidro fosco e estruturas venosas calibrosas (TC).

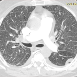
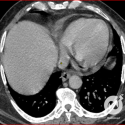
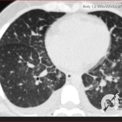
Lesões intersticiais reticulares difusas, cardiomegalia, derrame pleural á direita (Rx)/Opacidades em vidro fosco, cardiomegalia e aumento do calibre das estruturas venosas.

Lesões intersticiais reticulares difusas, cardiomegalia, derrame pleural á direita (Rx)/Opacidades em vidro fosco, cardiomegalia e aumento do calibre das estruturas venosas.

Consolidações alveolares e opacidades em vidro fosco peri-hilares, com espessamento septal e derrame pleural bilateral. Edema agudo de pulmão.

Consolidações alveolares e opacidades em vidro fosco peri-hilares, com espessamento septal e derrame pleural bilateral. Edema agudo de pulmão.

Consolidações alveolares e opacidades em vidro fosco peri-hilares, com espessamento septal e derrame pleural bilateral. Edema agudo de pulmão.

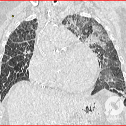
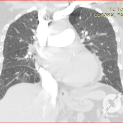
Lesões intersticiais reticulares difusas, aumento do volume cardíaco (Rx)/Opacidades em vidro fosco, espessamento septal e consolidações alveolares difusas, com predomínio peri-hilar bilateral. Edema agudo de pulmão.

Lesões intersticiais reticulares difusas, aumento do volume cardíaco (Rx)/Opacidades em vidro fosco, espessamento septal e consolidações alveolares difusas, com predomínio peri-hilar bilateral. Edema agudo de pulmão.

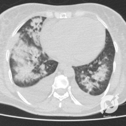
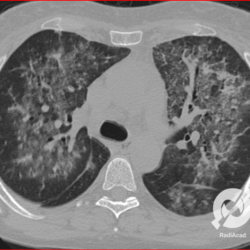
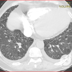
Opacidades em vidro fosco difusas com espessamento liso de septos e moderado derrame pleural bilateral.

Opacidades em vidro fosco difusas com espessamento liso de septos e pequeno derrame pleural bilateral.

Opacidades em vidro fosco, espessamento septal liso, proeminência de estruturas venosas e derrame pleural bilateral.



























