Joelho

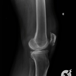
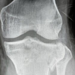
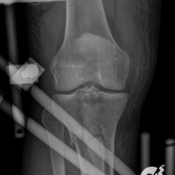
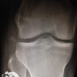
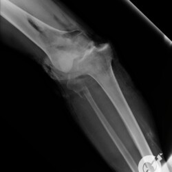
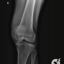
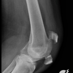
Fratura da patela com importante desvio e fratura cominutiva do 1/3 proximal da tíbia comprometendo a eminência intercondiliana.

Fratura da patela com importante desvio e fratura cominutiva do 1/3 proximal da tíbia comprometendo a eminência intercondiliana.








