Pancreatite

A contribuição da radiografia simples de abdome no diagnóstico de pancreatite aguda é muito limitada. No entanto, alguns sinais indiretos devem ser conhecidos. Alças de delgado não devem conter gás no interior, eventualmente pequenos focos gasosos. Quando a quantidade de gás é maior, pode representar uma reação do delgado a um processo patológico abdominal. Se a distensão é difusa, temos um íleo reflexo, caso seja focal, é o que chamamos de alça sentinela, que em geral está localizada adjacente ao órgão acometido. No nosso caso aqui, temos uma alça de delgado distendida na região mesogástrica, próxima à topografia pancreática. Em tempos de medicina baseada em evidências, esta é uma das evidências mais fracas de pancreatite que podemos ter, mas nunca é demais conhecer.

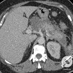
Embora o diagnóstico de pancreatite seja clínico e laboratorial, a tomografia é um excelente exame para avaliação da pancreatite aguda. O principal achado, assim como em qualquer abdome agudo, é a densificação do tecido adiposo adjacente ao pâncreas, em geral associada a um aumento de volume da glândula. Aqui observamos um pâncreas aumentado de volume e um borramento peripancreático inflamatório. Também podemos perceber a causa da pancreatite. Perceberam os cálculos biliares no hipocôndrio direito?

Pancreatite aguda aqui demonstrada na tomografia computadorizada, na qual observamos, no corte axial, um pâncreas aumentado e um borramento adiposo anterior. Já na reconstrução coronal, vemos a cabeça pancreática grande, com o borramento da gordura adjacente.

Pancreatite aguda aqui demonstrada na tomografia computadorizada, na qual observamos, no corte axial, um pâncreas aumentado e um borramento adiposo anterior. Já na reconstrução coronal, vemos a cabeça pancreática grande, com o borramento da gordura adjacente.

Pancreatite aguda típica, com borramento adiposo circunjacente, com extensão ao espaço pararrenal anterior esquerdo, onde se observa um espessamento parietal da fáscia renal anterior.

Aumento de volume da cabeça pancreática (a) e borramento adiposo adjacente. Na reconstrução coronal, observamos uma coleção líquida mal delimitada, sem parede, relacionada à pancreatite.

Aumento de volume da cabeça pancreática (a) e borramento adiposo adjacente. Na reconstrução coronal, observamos uma coleção líquida mal delimitada, sem parede, relacionada à pancreatite.

A tomografia mostra um pâncreas com tamanho relativamente normal, com exceção da cauda que está levemente aumentada e circundada por borramento adiposo inflamatório. O que chama nossa atenção e é extremamente importante, é que este é um exame com contraste endovenoso, a glândula pancreática captou bem o contraste, EXCETO em uma pequena região na face posterior, bem no centro da região do corpo que aparece hipocaptante de contraste (mais escurinha). Não houve captação porque esta é uma área de necrose, sem vascularização, logo, o contraste não chegou até ali e não impregnou aquele ponto do parênquima pancreático. Resumindo: pancreatite aguda necrótica.
