Pneumotórax

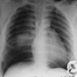
Paciente realizou simpatectomia. Pneumotórax de grande volume à direita. Dá pra ver a linha da pleura e a ausência de parênquima lateralmente a ela. À esquerda, no ápice, também não observamos marcas de parênquima, este também é um sinal de pneumotórax, mesmo que não dê pra enxergar a linha da pleura.

Este é um pneumotórax de moderada dificuldade. Podem acreditar, tem casos mais difíceis. A dica? O amigão do pneumotórax tá junto: o enfisema subcutâneo. Se virem o enfisema subcutâneo, procurem uma linha de pleura, porque, apesar de poderem existir separadamente, é muito comum pneumotórax e enfisema subcutâneo simultâneos. No zoom dá prá perceber melhor e ver que a gente não tá mentindo né?

Este é um pneumotórax de moderada dificuldade. Podem acreditar, tem casos mais difíceis. A dica? O amigão do pneumotórax tá junto: o enfisema subcutâneo. Se virem o enfisema subcutâneo, procurem uma linha de pleura, porque, apesar de poderem existir separadamente, é muito comum pneumotórax e enfisema subcutâneo simultâneos. No zoom dá prá perceber melhor e ver que a gente não tá mentindo né?

Este é o típico caso de pneumotórax. Um cara compridão, longilíneo, com dor torácica e dispneia súbitas. Na radiografia a gente percebe que não tem marcas de parênquima no ápice esquerdo e que existe uma linha de pleura lateralmente. Pneumotórax espontâneo

Paciente jovem, pós simpatectomia, assintomática. À esquerda conseguimos enxergar uma linha de pleura apical, sem marcas de parênquima superiormente, correto? Mas nunca podemos esquecer de ver todo o exame. No lado direito, também não tem parênquima, só gás. E existe uma linha de pleura mais discreta, mas existe. E o amigão tá lá no ápice esquerdo, o enfisema subcutâneo. Não é à toa que eu digo que é o diagnóstico mais sacana da radiologia.

Paciente jovem, pós simpatectomia, assintomática. À esquerda conseguimos enxergar uma linha de pleura apical, sem marcas de parênquima superiormente, correto? Mas nunca podemos esquecer de ver todo o exame. No lado direito, também não tem parênquima, só gás. E existe uma linha de pleura mais discreta, mas existe. E o amigão tá lá no ápice esquerdo, o enfisema subcutâneo. Não é à toa que eu digo que é o diagnóstico mais sacana da radiologia.

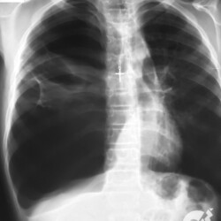
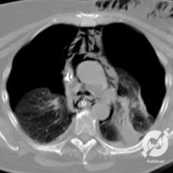
Aqui um caso mais tranquilo. Fácil de identificar a linha da pleura e a ausência do parênquima lateralmente, certo?

Aqui um grande pneumotórax à esquerda, com colapso importante do pulmão e uma mensagem muito importante: sempre precisamos observar se o mediastino está centrado, que é o que acontece aqui. Se estiver deslocado para o lado oposto, é um pneumotórax hipertensivo, situação urgente, que vai ser abordada em outro momento.

Caso simples de pneumotórax em um paciente acamado. Observamos uma linha de pleura à esquerda. Fácil, extremamente fácil. Opa, tem uma linha à direita tb. Muita calma nesta hora. A linha da direita não acompanha a curvatura da parede lateral do hemitórax. Esta linha na verdade é uma dobra de pele, comum quando estamos deitados. Cuidado com esta pegadinha.

Caso de moderado grau de dificuldade, observamos uma linha de pleura junto ao lobo superior direito, até um pouco espessada, o que não representa muita coisa no contexto, mas ajuda a separar pulmão e cavidade pleural.

Caso de moderado grau de dificuldade, observamos uma linha de pleura junto ao lobo superior direito, até um pouco espessada, o que não representa muita coisa no contexto, mas ajuda a separar pulmão e cavidade pleural.

Aqui ilustrando, que não é o tamanho que determina se o pneumotórax vai ser hipertensivo. Este pneumotórax à direita é menor do que o caso anterior, mas promove um pequeno desvio do mediastino para a esquerda (não se percebe o contorno cardíaco paravertebral à direita).

Aqui um pneumotórax à esquerda em um paciente de UTI. Não é um pneumotórax dos maiores, mas chama a atenção que parece ter um componente hipertensivo. Só que não. Se observarmos as clavículas, elas estão assimétricas e o hemitórax direito parece menor do que o esquerdo. É só uma questão técnica, o paciente está um pouco rodado. Não é tão fácil radiografar em UTI, às vezes isso acontece.

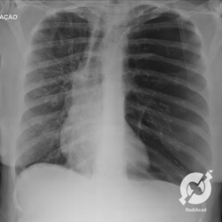
Pneumotórax de moderado volume à direita. Caso fácil, o olho já vai ficando treinado, a gente consegue identificar com mais facilidade.

Pneumotórax bilateral de pequeno volume pós-simpatectomia. Caso difícil. Não viu? Não tem problema, o negócio é treinar e se acostumar com a imagem.

Pneumotórax bilateral de pequeno volume pós-simpatectomia. Caso difícil. Não viu? Não tem problema, o negócio é treinar e se acostumar com a imagem.

Trauma, fratura costal, enfisema subcutâneo. O que procurar? Sim o pneumotórax junto ao lobo superior esquerdo.

Trauma, fratura costal, enfisema subcutâneo. O que procurar? Sim o pneumotórax junto ao lobo superior esquerdo.

Trauma, fratura de costela, mas desta vez sem enfisema subcutâneo. Não impede de ter pneumotórax. A linha de pleura tá lá, junto ao lobo superior.

Trauma, fratura de costela, mas desta vez sem enfisema subcutâneo. Não impede de ter pneumotórax. A linha de pleura tá lá, junto ao lobo superior.

Quando tem lesão pulmonar difusa fica mais fácil. Neste paciente de UTI com lesões alveolares difusas por edema, a gente percebe claramente a linha da pleura e o pneumotórax de moderado volume.

Outro paciente de UTI com lesões pulmonares difusas por edema e/ou infecção, com um pneumotórax de fácil identificação. Reparem que o gás pleural se insinua na cissura horizontal, que separa os lobos superior do médio. Sim, a cânula traqueal tá baixa, junto da carina, precisa ser tracionada.

Uma das causas frequentes de pneumotórax, principalmente em UTI é por passagem de cateter venoso profundo, com perfuração da pleura e entrada de gás no espaço pleural. Aqui vemos um grande pneumotórax à direita, com colapso do pulmão, secundário à passagem de um cateter venoso profundo. Reparem que apesar de volumoso, o pneumotórax não é hipertensivo.

Paciente HIV+, com quadro de dispneia acentuada, feito o diagnóstico de pneumocistose. Embora não muito comum, por vezes podemos encontrar cistos nas lesões pulmonares desencadeadas por este agente, que podem, em alguns casos romper para a cavidade pleural formando pneumotórax, que foi o que ocorreu aqui. Reparem à direita a linha da pleura apical, com lesão pulmonar inferiormente e ausência de parênquima superiormente. No LSE uma imagem cística (pneumatocele, o termo mais técnico), associada à pneumocistose.

Paciente HIV+, com quadro de dispneia acentuada, feito o diagnóstico de pneumocistose. Embora não muito comum, por vezes podemos encontrar cistos nas lesões pulmonares desencadeadas por este agente, que podem, em alguns casos romper para a cavidade pleural formando pneumotórax, que foi o que ocorreu aqui. Reparem à direita a linha da pleura apical, com lesão pulmonar inferiormente e ausência de parênquima superiormente. No LSE uma imagem cística (pneumatocele, o termo mais técnico), associada à pneumocistose.

Aqui um recém-nascido com uma lesão intersticial difusa por síndrome da angústia respiratória do recém-nascido (antiga doença da membrana hialina), e com um pneumotórax associado, possivelmente por barotrauma do respirador.

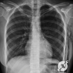
Aqui um pneumotórax à esquerda, com uma linha de pleura bonita acompanhando o contorno da parede torácica.

Uma dica importante: se estão na dúvida se tem pneumotórax ou não, uma opção antes de pedir uma tomografia é fazer radiografia em expiração. Um Rx de tórax, pra quem não sabe, é feito em inspiração. Quando expiramos, o pulmão colaba e no pneumotórax, isso faz com que a linha da pleura se desloque medialmente, sendo mais fácil de identificar. Foi o que ocorreu aqui em um paciente que fez punção-biópsia da lesão no LID e logo depois iniciou com dor torácica e dispneia. O exame inicial não mostrou nada, mas o exame em expiração forçada fez com que a pleura se deslocasse medialmente, tornando mais fácil o diagnóstico. A propósito, a lesão biopsiada era uma neoplasia, com característica radiográfica de consolidação.

Uma dica importante: se estão na dúvida se tem pneumotórax ou não, uma opção antes de pedir uma tomografia é fazer radiografia em expiração. Um Rx de tórax, pra quem não sabe, é feito em inspiração. Quando expiramos, o pulmão colaba e no pneumotórax, isso faz com que a linha da pleura se desloque medialmente, sendo mais fácil de identificar. Foi o que ocorreu aqui em um paciente que fez punção-biópsia da lesão no LID e logo depois iniciou com dor torácica e dispneia. O exame inicial não mostrou nada, mas o exame em expiração forçada fez com que a pleura se deslocasse medialmente, tornando mais fácil o diagnóstico. A propósito, a lesão biopsiada era uma neoplasia, com característica radiográfica de consolidação.

Uma dica importante: se estão na dúvida se tem pneumotórax ou não, uma opção antes de pedir uma tomografia é fazer radiografia em expiração. Um Rx de tórax, pra quem não sabe, é feito em inspiração. Quando expiramos, o pulmão colaba e no pneumotórax, isso faz com que a linha da pleura se desloque medialmente, sendo mais fácil de identificar. Foi o que ocorreu aqui em um paciente que fez punção-biópsia da lesão no LID e logo depois iniciou com dor torácica e dispneia. O exame inicial não mostrou nada, mas o exame em expiração forçada fez com que a pleura se deslocasse medialmente, tornando mais fácil o diagnóstico. A propósito, a lesão biopsiada era uma neoplasia, com característica radiográfica de consolidação.

Diagnosticar pneumotórax com o paciente em decúbito não é nada fácil, mas esporadicamente em pacientes de UTI, as eventuais lesões pulmonares extensas, podem facilitar a identificação da linha da pleura.

Aqui um pneumotórax à esquerda e queremos mostrar algo que pode acontecer: a presença de líquido, pode ser sangue, na cavidade pleural, junto com o gás, formando um hidropneumotórax, que é caracterizado pela presença de um nível hidroaéreo (aquela linha reta na base do hemitórax esquerdo).

Aqui um pneumotórax à esquerda e queremos mostrar algo que pode acontecer: a presença de líquido, pode ser sangue, na cavidade pleural, junto com o gás, formando um hidropneumotórax, que é caracterizado pela presença de um nível hidroaéreo (aquela linha reta na base do hemitórax esquerdo).

Caso fácil pra quem já tá treinando aqui. Enfisema subcutâneo e seu amigo (quase) inseparável, o pneumotórax. Não vamos colocar setas neste. Passa o cursor bem devagar acompanhando o contorno da parede torácica e tenta identificar a linha da pleura medialmente.

Este caso é bastante inusitado. A paciente tinha um velamento homogêneo do hemitórax direito, por neoplasia (derrame pleural metastático volumoso e extensa consolidação alveolar). Foi necessário passar um cateter venoso profundo, normalmente feito à direita. Porém como a paciente tinha uma grande lesão expansiva no hilo pulmonar direito, optou-se por puncionar à esquerda, que resultou num pneumotórax volumoso e podemos imaginar o drama.

Assim como o derrame pleural, também podemos ter pneumotórax encistado, eventualmente quando temos aderências pleurais de qualquer natureza que favorecem esta situação. Podemos ver aqui que a pleura está bastante espessada.

Mais um pneumotórax encistado, desta vez à direita, comprometendo principalmente o 1/3 inferior do hemitórax e comprimindo o lobo inferior medialmente.

Este aqui precisa de legenda? Provavelmente não, certo? Um grande pneumotórax à direita com colapso do pulmão.

Mais um paciente de UTI, com acidente de punção da subclávia. Um grande pneumotórax à direita, com a pleura bem identificada.

Aqui quase não dá pra ver o pneumotórax, mas dá pra saber que ele tá ali. Vemos um enfisema subcutâneo monstruoso e por incrível que pareça vemos com uma certa facilidade um pneumomediastino, aquele gás junto da aorta e do contorno cardíaco esquerdo. Mas... se a gente olhar com carinho, vamos conseguir ver um pedaço de pleura junto ao lobo superior. Tá ali o amigão do enfisema subcutâneo.

Aqui quase não dá pra ver o pneumotórax, mas dá pra saber que ele tá ali. Vemos um enfisema subcutâneo monstruoso e por incrível que pareça vemos com uma certa facilidade um pneumomediastino, aquele gás junto da aorta e do contorno cardíaco esquerdo. Mas... se a gente olhar com carinho, vamos conseguir ver um pedaço de pleura junto ao lobo superior. Tá ali o amigão do enfisema subcutâneo.

Aqui um pneumotórax à direita moderado/grande promovendo desvio do mediastino para a esquerda. Olha bem na base... lembra que falamos da linha do hidropneumotórax que pode ocorrer de vez em quando? Pois ela tá ali de novo.

Sempre precisamos ter cuidado, principalmente nos pacientes acamados, com as linhas cutâneas. Aqui a gente vê uma linha e fica louco pra diagnosticar o pneumotórax. Mas, se observarmos ali perto daquele eletrodo projetado no lobo superior esquerdo, podemos ver que a linha desparece e que também existe parênquima além da linha, o que acaba de vez com a nossa hipótese de pneumotórax.

Querem mais pele? Aqui tem bastante: à direita, à esquerda, paralelas, curvas, mas cuidado... Lá junto do LSE a linha é de pneumotórax, ela acompanha a parede torácica e não tem parênquima lateralmente.

Aqui é pra ilustrar e comparar imagens, acho interessante. Na foto “a” a radiografia (na verdade a imagem radiográfica gerada pelo tomógrafo) e na foto “b” a tomografia com reconstrução coronal, mostrando exatamente a mesma imagem. Qual vocês preferem? Na boa, pra mim, não tem como ganhar da radiografia...

Aqui é pra ilustrar e comparar imagens, acho interessante. Na foto “a” a radiografia (na verdade a imagem radiográfica gerada pelo tomógrafo) e na foto “b” a tomografia com reconstrução coronal, mostrando exatamente a mesma imagem. Qual vocês preferem? Na boa, pra mim, não tem como ganhar da radiografia...

Esta tá fácil, extremamente fácil. Prá você e eu e todo mundo (se não entenderem, os pais de vocês entenderão). Paciente de UTI, já tá até drenado. Mas o objetivo aqui é identificar a pleura, como a gente pode ver junto do lobo superior.

A pegadinha de novo. Paciente em decúbito, cuidado com dobras de pele, ali perto do contorno cardíaco à esquerda.

Gosto muito desta radiografia. Não tem dificuldade nenhuma. È um colapso total do pulmão direito por um pneumotórax não hipertensivo. O que eu gosto dela é que mostra como o pulmão é pequeno quando tiramos o gás. Tão pequeno que cabe dentro do átrio direito, que é a menor cavidade do coração. Só prá lembrar da anatomia radiográfica, o átrio direito é a parte do coração à direita da coluna.

Mais um bebezinho com membrana hialina que desenvolveu um pneumotórax pelo respirador, desta vez bilateral.

Enfisema subcutâneo? Procura pneumotórax. A pleura tá lá em cima, entre o 2º e 3º arcos costais, conseguiu ver?

Olha, esta é uma imagem bizarra. Ok, o pneumotórax tá lá no ápice, não tem parênquima acima da linha da pleura, já foi drenado, mas tem um pneumotórax intercissural encistado na cissura horizontal (separa o LSD do LM, só pra reforçar). Isto não é nada comum e é uma imagem bem interessante.

Olha, esta é uma imagem bizarra. Ok, o pneumotórax tá lá no ápice, não tem parênquima acima da linha da pleura, já foi drenado, mas tem um pneumotórax intercissural encistado na cissura horizontal (separa o LSD do LM, só pra reforçar). Isto não é nada comum e é uma imagem bem interessante.

Pneumotórax dos grandes aqui. Hipertensivo ou não? “X “ na opção 1. O coração tá jogado prá direita. Felizmente já tá drenado.

Este é difícil, mas dá uma olhada acima da clavícula direita. Consegue perceber uma linha bem fina acima do bordo superior da costela? É a pleura. É por isso que o pneumotórax é o diagnóstico mais sacana em radiologia.

Mais um compridão. Paciente jovem e longilíneo, com dor súbita. Pneumotórax espontâneo primário. Conseguem reparar na linha da pleura?

Mais um compridão. Paciente jovem e longilíneo, com dor súbita. Pneumotórax espontâneo primário. Conseguem reparar na linha da pleura?

Caso de fácil identificação. Pneumotórax evidente à direita. Mas cuidado, tem um pequeno enfisema subcutâneo à esquerda, muito pequeno prá ser amigo do pneumotórax direito. Temos que procurar gás pleural à esquerda. Se correr cursos com calma pela parede torácica esquerda vai encontrar.

Caso de fácil identificação. Pneumotórax evidente à direita. Mas cuidado, tem um pequeno enfisema subcutâneo à esquerda, muito pequeno prá ser amigo do pneumotórax direito. Temos que procurar gás pleural à esquerda. Se correr cursos com calma pela parede torácica esquerda vai encontrar.

É uma radiografia de arcos costais, não dá prá identificar fratura, mas temos que procurar alterações nos pulmões e pleura. Pulmão normal, mas a gente consegue identificar a linha da pleura, que confirma o pneumotórax.

O exame é de clavícula, que o indivíduo já quebrou e fixou. Mas ele sempre dá um jeito de se estourar de novo. Desta vez fratura de costela com pneumotórax.

Fratura cominutiva da clavícula. Não podemos deixar que um achado escancarado impeça que vejamos achados mais discretos. Tem um pneumotórax associado, pequeno, mas tem.

Radiografia de escápula mostrando não só uma fratura do corpo, mas também um pneumotórax bem evidente.

Paciente com história de trauma. É possível identificar um pneumotórax à esquerda e também outro ligeiramente menor à direita.

Fratura de clavícula esquerda, podemos identificar o pneumotórax apical do mesmo lado, inclusive com certo espessamento da pleura.

Este é um paciente com DPOC, no qual observamos várias imagens hipoatenuantes, mais escuras e sem paredes, que são o enfisema centrolobular, houve destruição do parênquima nestes focos. Na periferia do pulmão direito conseguimos identificar bolhas de enfisema e com certeza uma delas se rompeu para a cavidade pleural formando o pneumotórax espontâneo secundário, já que existe uma doença subjacente que funciona como um fator de risco pra desenvolver pneumotórax. Só pra deixar claro: as leis da física também se aplicam à radiologia: as radiografias de tórax são feitas de pé, então o gás do pneumotórax, por gravidade, vai se depositar no ápice do hemitórax. Já as tomografias são realizadas com o paciente em decúbito dorsal portanto o gás vai se depositar anteriormente, já que deitados a parte mais elevada do nosso corpo é a nossa região anterior, ok?

Este é um paciente com DPOC, no qual observamos várias imagens hipoatenuantes, mais escuras e sem paredes, que são o enfisema centrolobular, houve destruição do parênquima nestes focos. Na periferia do pulmão direito conseguimos identificar bolhas de enfisema e com certeza uma delas se rompeu para a cavidade pleural formando o pneumotórax espontâneo secundário, já que existe uma doença subjacente que funciona como um fator de risco pra desenvolver pneumotórax. Só pra deixar claro: as leis da física também se aplicam à radiologia: as radiografias de tórax são feitas de pé, então o gás do pneumotórax, por gravidade, vai se depositar no ápice do hemitórax. Já as tomografias são realizadas com o paciente em decúbito dorsal portanto o gás vai se depositar anteriormente, já que deitados a parte mais elevada do nosso corpo é a nossa região anterior, ok?

Este é um paciente com DPOC, no qual observamos várias imagens hipoatenuantes, mais escuras e sem paredes, que são o enfisema centrolobular, houve destruição do parênquima nestes focos. Na periferia do pulmão direito conseguimos identificar bolhas de enfisema e com certeza uma delas se rompeu para a cavidade pleural formando o pneumotórax espontâneo secundário, já que existe uma doença subjacente que funciona como um fator de risco pra desenvolver pneumotórax. Só pra deixar claro: as leis da física também se aplicam à radiologia: as radiografias de tórax são feitas de pé, então o gás do pneumotórax, por gravidade, vai se depositar no ápice do hemitórax. Já as tomografias são realizadas com o paciente em decúbito dorsal portanto o gás vai se depositar anteriormente, já que deitados a parte mais elevada do nosso corpo é a nossa região anterior, ok?

Aqui temos uma tomografia de um paciente com DPOC caracterizada pela presença de enfisema centrolobular, estas pequenas imagens hipoatenuantes (escurinhas) sem paredes definidas, espalhadas pelo parênquima. Além do enfisema, podemos perceber nas regiões subpleurais, periféricas, algumas imagens gasosas que são bolhas enfisematosas, mais acentuadas à direita, bem como imagens de enfisema centrolobular. Não é tão frequente uma bolha de enfisema determinar um pneumotórax (arredondando, de 1:1000), mas existe um substrato pra desencadear pneumotórax. Neste caso em questão ele é pequeno, à direita, um pneumotórax espontâneo secundário.

Aqui temos uma tomografia de um paciente com DPOC caracterizada pela presença de enfisema centrolobular, estas pequenas imagens hipoatenuantes (escurinhas) sem paredes definidas, espalhadas pelo parênquima. Além do enfisema, podemos perceber nas regiões subpleurais, periféricas, algumas imagens gasosas que são bolhas enfisematosas, mais acentuadas à direita, bem como imagens de enfisema centrolobular. Não é tão frequente uma bolha de enfisema determinar um pneumotórax (arredondando, de 1:1000), mas existe um substrato pra desencadear pneumotórax. Neste caso em questão ele é pequeno, à direita, um pneumotórax espontâneo secundário.

Aqui temos uma tomografia de um paciente com DPOC caracterizada pela presença de enfisema centrolobular, estas pequenas imagens hipoatenuantes (escurinhas) sem paredes definidas, espalhadas pelo parênquima. Além do enfisema, podemos perceber nas regiões subpleurais, periféricas, algumas imagens gasosas que são bolhas enfisematosas, mais acentuadas à direita, bem como imagens de enfisema centrolobular. Não é tão frequente uma bolha de enfisema determinar um pneumotórax (arredondando, de 1:1000), mas existe um substrato pra desencadear pneumotórax. Neste caso em questão ele é pequeno, à direita, um pneumotórax espontâneo secundário.

Aqui temos uma tomografia de um paciente com DPOC caracterizada pela presença de enfisema centrolobular, estas pequenas imagens hipoatenuantes (escurinhas) sem paredes definidas, espalhadas pelo parênquima. Além do enfisema, podemos perceber nas regiões subpleurais, periféricas, algumas imagens gasosas que são bolhas enfisematosas, mais acentuadas à direita, bem como imagens de enfisema centrolobular. Não é tão frequente uma bolha de enfisema determinar um pneumotórax (arredondando, de 1:1000), mas existe um substrato pra desencadear pneumotórax. Neste caso em questão ele é pequeno, à direita, um pneumotórax espontâneo secundário.

Paciente que tem uma diminuta bolha subpleural no ápice do pulmão direito e um pneumotórax à esquerda. Obviamente existem outras bolhas nos pulmões e uma delas, à esquerda, rompeu para a cavidade pleural.

Outro caso simples, de um pneumotórax à esquerda, espontâneo primário. O curioso aqui é que existe uma imagem alongada com densidade de gás que se origina na traqueia e corresponde a um brônquio acessório. A mensagem? Não é porque fizemos o diagnóstico daquilo que buscávamos, que nossa análise se encerra. Aqui foi só um brônquio acessório, mas poderia ser um nódulo suspeito...

Paciente com cavidades pulmonares e consolidações, que fez um pneumotórax de grande volume. Reparem que existe um desvio do mediastino para o lado oposto. Situação urgente aqui: pneumotórax hipertensivo.

Paciente com cavidades pulmonares e consolidações, que fez um pneumotórax de grande volume. Reparem que existe um desvio do mediastino para o lado oposto. Situação urgente aqui: pneumotórax hipertensivo.

Este é um caso bem como eu gosto, bem didático. Paciente sofreu um trauma torácico, com fraturas costais e tem um enfisema subcutâneo. Na figura “a” a gente percebe que um fragmento costal perfurou o pulmão e formou uma consolidação parenquimatosa subjacente que é decorrente do sangramento pulmonar local. Pra perfurar o pulmão, primeiro perfura a pleura, e na figura 2 identificamos o pneumotórax anteriormente.

Este é um caso bem como eu gosto, bem didático. Paciente sofreu um trauma torácico, com fraturas costais e tem um enfisema subcutâneo. Na figura “a” a gente percebe que um fragmento costal perfurou o pulmão e formou uma consolidação parenquimatosa subjacente que é decorrente do sangramento pulmonar local. Pra perfurar o pulmão, primeiro perfura a pleura, e na figura 2 identificamos o pneumotórax anteriormente.

Mais uma vez, uma fratura costal perfurando o pulmão e desencadeando a formação da contusão parenquimatosa e do pneumotórax à esquerda.

Outro caso parecido de pneumotórax secundário por trauma, este pequeno, uma fratura menor de costela, mas nem por isso deixou de perfurar pleura e pulmão formando a contusão e o pneumotórax pequeno.

mais uma vez, o mesmo aspecto: fratura costal, contusão subjacente e o pneumotórax, mínimo, mas presente. Reparem como o corte da figura “a” mostra o escape de gás da pleura para a parede torácica anteriomente à costela fraturada.

mais uma vez, o mesmo aspecto: fratura costal, contusão subjacente e o pneumotórax, mínimo, mas presente. Reparem como o corte da figura “a” mostra o escape de gás da pleura para a parede torácica anteriomente à costela fraturada.

mais uma vez, o mesmo aspecto: fratura costal, contusão subjacente e o pneumotórax, mínimo, mas presente. Reparem como o corte da figura “a” mostra o escape de gás da pleura para a parede torácica anteriomente à costela fraturada.

Aqui a pancada foi grande. Trauma violento com pneumotórax bilateral, ambos volumosos, colapso total do pulmão esquerdo com extensa consolidação alveolar associada que representa uma grande contusão parenquimatosa pulmonar. O pulmão direito aparenta estar preservado.

Aqui a pancada foi grande. Trauma violento com pneumotórax bilateral, ambos volumosos, colapso total do pulmão esquerdo com extensa consolidação alveolar associada que representa uma grande contusão parenquimatosa pulmonar. O pulmão direito aparenta estar preservado.

Aqui a pancada foi grande. Trauma violento com pneumotórax bilateral, ambos volumosos, colapso total do pulmão esquerdo com extensa consolidação alveolar associada que representa uma grande contusão parenquimatosa pulmonar. O pulmão direito aparenta estar preservado.

Este indivíduo não sofreu nenhum trauma, mas tinha algumas cavitações que romperam em ambos os pulmões, determinando a formação de um pneumotórax bilateral.

Este indivíduo não sofreu nenhum trauma, mas tinha algumas cavitações que romperam em ambos os pulmões, determinando a formação de um pneumotórax bilateral.

Aqui um caso de trauma, mas não contuso. É um ferimento por arma branca penetrante. Na figura “a” observamos no subcutâneo da parede anterior do hemitórax esquerdo um borramento da adiposo e uma imagem nodular que corresponde a um pequeno hematoma. Nos planos mais profundos identificamos o enfisema subcutâneo (que aqui não é subcutâneo, é retropeitoral, mas tudo bem). Na figura “b”, corte com janela de pulmão, identificamos o gás pleural do pequeno pneumotórax que se formou.

Aqui um caso de trauma, mas não contuso. É um ferimento por arma branca penetrante. Na figura “a” observamos no subcutâneo da parede anterior do hemitórax esquerdo um borramento da adiposo e uma imagem nodular que corresponde a um pequeno hematoma. Nos planos mais profundos identificamos o enfisema subcutâneo (que aqui não é subcutâneo, é retropeitoral, mas tudo bem). Na figura “b”, corte com janela de pulmão, identificamos o gás pleural do pequeno pneumotórax que se formou.

Outro trauma penetrante, ferimento por arma branca. Na figura “a”, na parede torácica anterior à esquerda, percebemos um gás subcutâneo que corresponde ao orifício de entrada e este gás se continua para os planos mais profundos, demonstrando o trajeto da arma. Já no pulmão, na mesma figura “a”, existe uma opacidade em vidro fosco que representa o sangramento/contusão pulmonares, e uma imagem gasosa que é a laceração parenquimatosa. A arma perfurou o pulmão, e o corte foi preenchido por gás formando a cavidade. Nas imagens “b” e “c” vemos uma imagem alongada densa que corresponde ao sangue que se depositou no trajeto do corte feito. Já na figura “d” percebemos que apesar de profunda, a agressão formou um pneumotórax de volume reduzido.

Outro trauma penetrante, ferimento por arma branca. Na figura “a”, na parede torácica anterior à esquerda, percebemos um gás subcutâneo que corresponde ao orifício de entrada e este gás se continua para os planos mais profundos, demonstrando o trajeto da arma. Já no pulmão, na mesma figura “a”, existe uma opacidade em vidro fosco que representa o sangramento/contusão pulmonares, e uma imagem gasosa que é a laceração parenquimatosa. A arma perfurou o pulmão, e o corte foi preenchido por gás formando a cavidade. Nas imagens “b” e “c” vemos uma imagem alongada densa que corresponde ao sangue que se depositou no trajeto do corte feito. Já na figura “d” percebemos que apesar de profunda, a agressão formou um pneumotórax de volume reduzido.

Outro trauma penetrante, ferimento por arma branca. Na figura “a”, na parede torácica anterior à esquerda, percebemos um gás subcutâneo que corresponde ao orifício de entrada e este gás se continua para os planos mais profundos, demonstrando o trajeto da arma. Já no pulmão, na mesma figura “a”, existe uma opacidade em vidro fosco que representa o sangramento/contusão pulmonares, e uma imagem gasosa que é a laceração parenquimatosa. A arma perfurou o pulmão, e o corte foi preenchido por gás formando a cavidade. Nas imagens “b” e “c” vemos uma imagem alongada densa que corresponde ao sangue que se depositou no trajeto do corte feito. Já na figura “d” percebemos que apesar de profunda, a agressão formou um pneumotórax de volume reduzido.

Outro trauma penetrante, ferimento por arma branca. Na figura “a”, na parede torácica anterior à esquerda, percebemos um gás subcutâneo que corresponde ao orifício de entrada e este gás se continua para os planos mais profundos, demonstrando o trajeto da arma. Já no pulmão, na mesma figura “a”, existe uma opacidade em vidro fosco que representa o sangramento/contusão pulmonares, e uma imagem gasosa que é a laceração parenquimatosa. A arma perfurou o pulmão, e o corte foi preenchido por gás formando a cavidade. Nas imagens “b” e “c” vemos uma imagem alongada densa que corresponde ao sangue que se depositou no trajeto do corte feito. Já na figura “d” percebemos que apesar de profunda, a agressão formou um pneumotórax de volume reduzido.

Um caso triste de um paciente psiquiátrico em umsurto psicótico acabou se mutilando e perfurou seu pulmão e esôfago com um objeto penetrante. Na figura “a” uma imagem semelhante à radiografia, que é o localizador da tomografia, demonstrando o objeto. Na figura “b” temos uma reconstrução sagital, que permite ver o pneumotórax apical, de pequeno volume.

Um caso triste de um paciente psiquiátrico em umsurto psicótico acabou se mutilando e perfurou seu pulmão e esôfago com um objeto penetrante. Na figura “a” uma imagem semelhante à radiografia, que é o localizador da tomografia, demonstrando o objeto. Na figura “b” temos uma reconstrução sagital, que permite ver o pneumotórax apical, de pequeno volume.

Um caso triste de um paciente psiquiátrico em umsurto psicótico acabou se mutilando e perfurou seu pulmão e esôfago com um objeto penetrante. Na figura “a” uma imagem semelhante à radiografia, que é o localizador da tomografia, demonstrando o objeto. Na figura “b” temos uma reconstrução sagital, que permite ver o pneumotórax apical, de pequeno volume.

Aqui um trauma um pouco diferente. O tal do fogo amigo. Uma tentativa malsucedida de punção subclávia, fazendo um falso trajeto e perfurando o pulmão, formando um pneumotórax. Acontece... Conseguimos ver nos corptes coronal e sagital como o cateter acaba saindo do vaso e lesando o pulmão. Nas figuras “c” e “d” observamos o gás pleural.

Aqui um trauma um pouco diferente. O tal do fogo amigo. Uma tentativa malsucedida de punção subclávia, fazendo um falso trajeto e perfurando o pulmão, formando um pneumotórax. Acontece... Conseguimos ver nos corptes coronal e sagital como o cateter acaba saindo do vaso e lesando o pulmão. Nas figuras “c” e “d” observamos o gás pleural.

Aqui um trauma um pouco diferente. O tal do fogo amigo. Uma tentativa malsucedida de punção subclávia, fazendo um falso trajeto e perfurando o pulmão, formando um pneumotórax. Acontece... Conseguimos ver nos corptes coronal e sagital como o cateter acaba saindo do vaso e lesando o pulmão. Nas figuras “c” e “d” observamos o gás pleural.

Aqui um trauma um pouco diferente. O tal do fogo amigo. Uma tentativa malsucedida de punção subclávia, fazendo um falso trajeto e perfurando o pulmão, formando um pneumotórax. Acontece... Conseguimos ver nos corptes coronal e sagital como o cateter acaba saindo do vaso e lesando o pulmão. Nas figuras “c” e “d” observamos o gás pleural.




