Trauma Renal

Paciente obviamente vítima de trauma, apresenta apenas duas pequenas imagens arredondadas corticais, com baixa captação de contraste, que correspondem a contusões parenquimatosas. Trauma renal grau I da AAST.

Este paciente sofreu um trauma, apresentou hematúria e na tomografia, observamos (com certa dificuldade, reconhecemos), uma imagem linear no bordo anterior, correspondente a uma laceração com menos de 1,0 cm. Trauma renal grau II da AAST.

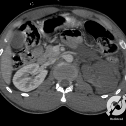
O paciente aqui tem uma imagem hipoatenuante com mais de 3,0 cm no polo inferior do rim esquerdo, com uma coleção líquida perirrenal relacionada a um hematoma. Trauma renal grau 03.

Aqui o bicho começa a pegar. Paciente com trauma mais violento, fez uma laceração renal esquerda, com envolvimento da pélvis, observando-se lesão do sistema coletor. Sabemos disso porque é possível identificar contraste fora da via excretora, anteriormente à junção ureteropiélica esquerda. Também existe uma coleção perinéfrica associada. Trauma grau IV da AAST.

Outra vítima de trauma violento. Numa fase mais precoce do exame contrastado, a gente percebe a laceração do rim, que é esta lesão hipoatenuante heterogênea, assim como uma grande coleção perinéfrica. Quando esperamos de três a cinco minutos após a infusão de contraste para realizarmos uma fase tardia, conseguimos perceber o extravasamento do contraste para a coleção perinéfrica. Trauma renal categoria IV da AAST.

Outra vítima de trauma violento. Numa fase mais precoce do exame contrastado, a gente percebe a laceração do rim, que é esta lesão hipoatenuante heterogênea, assim como uma grande coleção perinéfrica. Quando esperamos de três a cinco minutos após a infusão de contraste para realizarmos uma fase tardia, conseguimos perceber o extravasamento do contraste para a coleção perinéfrica. Trauma renal categoria IV da AAST.
